
Rizartrosis




¿Cuál es la causa de la rizartrosis?
Aunque la causa exacta de la rizartrosis no se conoce con certeza, sí sabemos que existen factores que aumentan significativamente el riesgo de desarrollarla.
Factores hereditarios, el desgaste progresivo del cartílago en la base del pulgar y ciertas condiciones que incrementan la carga sobre esta articulación.
Más frecuente en mujeres, especialmente entre los 50 y 60 años. Sin embargo, también puede presentarse en personas más jóvenes.
Movimientos repetitivos o de alta carga con el pulgar, como ocurre en ciertos deportes (tenis, pádel, golf, etc.) o profesiones (músicos, dentistas, enfermeras, costureras, mecánicos, electricistas, trabajadores de limpieza, cocineros, pasteleros, fisioterapeutas, masajistas, operarios de fábricas, etc.).
Dolor en la base del pulgar, que en ocasiones irradía hacia el borde radial de la muñeca o todo el dedo.
Dolor mecánico, que empeora con el uso y mejora en reposo, aunque en fases avanzadas puede persistir en reposo o incluso por la noche.
Dolor al realizar la pinza, es decir, al sujetar objetos entre el pulgar y los dedos. Actividades tan comunes como abrir una botella, girar una llave, abrochar un botón o sostener una taza pueden resultar dolorosas o imposibles. Es frecuente que los objetos se caigan de las manos debido al dolor o a la pérdida de fuerza y estabilidad.
En casos más avanzados, puede observarse deformidad visible en la base del pulgar, pérdida de movilidad y sensación de inestabilidad articular, especialmente al hacer fuerza con la pinza. Estos síntomas afectan de forma significativa la autonomía y calidad de vida del paciente.
Síntomas de la rizartrosis
Tratamiento conservador
En estadios iniciales el reposo, el calor local, los analgésicos y el uso de ortesis o férulas
Puede iniciarse fisioterapia en pos de aliviar el dolor y mejorar la funcionalidad de la articulación.
Infiltraciones con corticoides aunque pueden aliviar temporalmente el dolor, su efecto es limitado y pueden producir efectos secundarios como atrofia grasa, hipopigmentación o daño tendinoso. Además, existe evidencia de que podrían acelerar la degeneración de la articulación si se usan de forma repetida.
Las infiltraciones con ácido hialurónico podrían tener utilidad en algunos pacientes, especialmente en fases iniciales o cuando otras opciones no son viables.
Infiltraciones con Plasma Rico en Plaquetas (PRP) están mostrando resultados prometedores en algunos estudios. Aunque todavía necesitamos más evidencia a largo plazo, en nuestra práctica hemos tratado casos seleccionados con esta técnica y hemos observado una buena evolución clínica en muchos de ellos.
Tratamiento quirúrgico
La rizartrosis es una forma de artrosis que afecta a la base del pulgar, en la articulación trapeciometacarpiana. Esta enfermedad degenerativa provoca un desgaste progresivo del cartílago articular, lo que con el tiempo puede generar deformidad, dolor e incluso una limitación importante de la función del pulgar. Es la segunda localización más frecuente de artrosis en la mano, y también se la conoce como artrosis de la base del pulgar.
Una técnica mínimamente invasiva para la rizartrosis
A través de pequeñas incisiones y bajo visualización artroscópica, se reseca únicamente la porción patológica del trapecio, conservando la estabilidad y la biomecánica del pulgar. Esta técnica permite un menor dolor postoperatorio, movilización precoz y una recuperación funcional más rápida en comparación con técnicas abiertas más agresivas.
¿Quién es el paciente ideal para esta intervención?
Pacientes jóvenes o activos, entre 45-55 años que desean preservar la articulación y evitar cirugías más radicales.
Rizartrosis en estadios iniciales o moderados (Eaton I–II, algunos III seleccionados).
Dolor persistente que limita actividades finas o de fuerza a pesar de tratamientos conservadores.
Buena estabilidad metacarpiana sin colapso avanzado ni deformidad fija.
Pacientes que requieren recuperación rápida por motivos laborales o deportivos.
Recuperar movilidad y fuerza en la base del pulgar
La prótesis trapeciometacarpiana es una solución avanzada para la rizartrosis que permite sustituir la articulación dañada por un implante estable y de alta movilidad. Proporciona alivio rápido del dolor, recuperación funcional temprana y una excelente preservación de la fuerza de pinza y prensión, especialmente en pacientes con alta demanda manual.
¿Quién es el paciente ideal?
Pacientes activos, entre 50-70 años, que desean mantener movilidad completa y fuerza.
Rizartrosis avanzada (Eaton II–III–IV) con dolor significativo.
Buena calidad ósea para una correcta fijación del implante.
Ausencia de deformidades severas o inestabilidad metacarpiana irreductible.
Pacientes que buscan una recuperación rápida y un resultado funcional predecible.


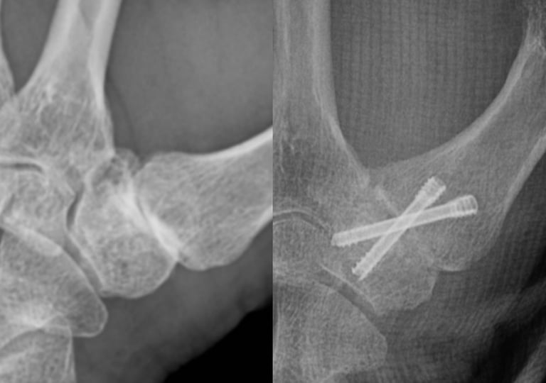
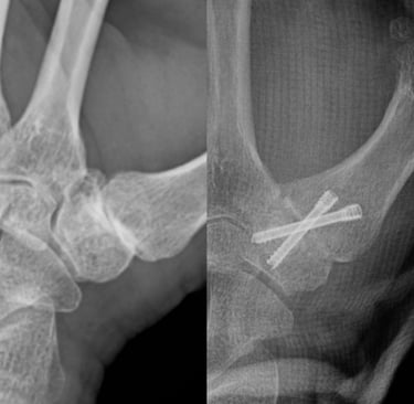
Estabilidad definitiva para casos avanzados
La artrodesis trapeciometacarpiana por artroscopia permite tratar la rizartrosis avanzada mediante la fusión controlada de la articulación, preservando la biomecánica del pulgar y reduciendo el dolor de forma definitiva. La asistencia artroscópica facilita una preparación precisa de las superficies articulares y una mínima agresión tisular, mientras que los tornillos canulados cruzados aportan una fijación sólida y fiable.
¿Quién es el paciente ideal?
Rizartrosis avanzada o colapso severo con deformidad establecida (Eaton III–IV).
Pacientes jóvenes o muy activos, menos de 50 años, que priorizan fuerza y estabilidad sobre la movilidad.
Pacientes con trabajo manual intenso donde se requiere una solución definitiva y resistente.
Articulación con inestabilidad marcada o fracasos previos de otras técnicas.
Buena calidad ósea para garantizar la consolidación.


Alivio del dolor con mínima invasión
La trapezectomía completa por artroscopia consiste en la resección integral del trapecio mediante pequeñas incisiones, preservando al máximo los tejidos blandos y la estabilidad del pulgar. Es una técnica mínimamente invasiva que ofrece excelente alivio del dolor, menor agresión quirúrgica y una recuperación más rápida respecto a la cirugía abierta tradicional. Puede combinarse con técnicas de suspensión o interposición según las necesidades del paciente.
¿Quién es el paciente ideal?
Rizartrosis avanzada (Eaton II–IV) con dolor persistente y limitación funcional.
Pacientes que buscan una técnica menos agresiva que la cirugía abierta, con mejor control del dolor postoperatorio.
Casos con deformidad moderada sin necesidad de artrodesis.
Pacientes de actividad moderada, donde la estabilidad funcional es suficiente con técnicas de suspensión o interposición.
Situaciones en las que se desea conservar tejidos y minimizar complicaciones locales.

















